Gum Veneers in Delhi
If you have receding gums, you undoubtedly have concerns about how they will affect the look of your smile, if it’s possible to regrow the gum (or gingival) that you’ve lost, and the likely causes of the recession. However, there are certain techniques to enhance your smile after a gum recession, as there is no way for gums to come back. Gum (or gingival) veneers in Delhi are an alternative with the least invasiveness.
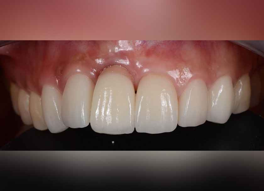
Gums that have gum disease are swollen and red. As the condition is treated and cured, the gums become less swollen, which leads to gaps between the teeth and gum recession at the tooth neck.
While many people are lucky enough to hide this recession when they smile, it will be noticeable for certain people with greater smile lines. When this is a problem, we can offer an acrylic covering (veneer) that fits over the teeth and covers the receding gums to hide the imperfections.
What is Gum Veneer Treatment In Delhi?
A gum veneer can help make your receding gums seem better, much like porcelain veneers can make your teeth look better since gum veneers are less well-recognized than dental veneers. We’re here to educate you about gum recession, the many types of gingival veneers you may choose, the best ways to maintain them, and how they stack up against other gum recession treatment choices.
How Do Gum Veneers in Delhi Are Placed?
Initial impressions (molds) are sent to the lab so that a specially designed tray may be created that perfectly suits you.
Second impressions using a harder substance in the tray the lab gave. At this point, the gum’s color (shade) is chosen.
Gum veneer installation demands a careful evaluation of how well it fits around the teeth and how it looks. Installation of veneers is done during this visit if everything is in order. If not, it is returned to the lab for revisions, and another session is needed for the veneer’s final fit. This process may involve numerous appointments.
Different Types Of Gum Dental Veneers
Easily Removed Veneers
Gingival veneers are compared to dentures for your gums instead of your teeth. Some porcelain, acrylic, or composite resin gum veneers are taken out. Like dentures, they should be taken off at night while you sleep and cleaned every day. You must wash gum veneers after every meal and keep them submerged in water at night to prevent warping.
Fixed Veneers
Fixated gingival veneers are made of ceramic tooth-colored material and are molded to your teeth over time. Fixed veneers are less prevalent than detachable veneers. Due to their permanence, these veneers are occasionally more difficult to maintain.
Gingival Veneers
Gingival veneers are applied in a manner akin to how crowns or artificial teeth are placed. The region that the veneer will cover is often the subject of an impression taken by your dentist. The first veneer they build will be fitted to your oral mouth to ensure it is comfortable. Also, don’t be concerned that others will notice your mouth has a new, bright-looking item! Additionally, your dentist will color it to naturally blend in with your smile.
How Patient Can Maintain a Gum Veneer?
If you and your dentist determine that a gum veneer is the best course for treating your receding gums, they will also provide you with detailed care recommendations. Your dentist may advise you to brush your veneer after meals or at least once daily, as mentioned above. If your veneer is removable, your dentist will instruct you to take it out of your mouth and store it safely while it’s not in use. They will also demonstrate how to properly position the veneer in your mouth for a nice appearance and a snug fit.
What To Expect?
If you want to brighten your smile, the veneer is a great choice for your receding gums. Another option for therapy is a gum transplant which uses tissue from the palate or the upper mouth to replace deficient gum tissue. The surgical procedures of gum contouring and regeneration are other choices. Depending on the extent of your gum recession, the cost of treatment, and other considerations, our dentist in Delhi will advise you on the best course of action.
Schedule A Consultation
If you want to know more about veneers gum treatment, Schedule an appointment with us dental clinic in Delhi. Our dentist will recommend the right advice that improves your beautiful smile. Gum veneers are the best smile makeover dental procedure that improves your facial appearance and increases your confidence.
FAQ's
They don't endanger dental health because they are readily cleaned and are detachable. A gingival veneer can be used as a quick, workable fix for people unhappy with their gums' recession. It is minimally invasive.
Depending on the sort of veneer you have, with due care and consideration, 5-7 years is the normal lifespan of composite bonding veneers. Usually lasting 10 to 15 years, porcelain veneers.
The look of your smile may be improved with the aid of gingival veneers, giving you greater self-assurance and allowing you to enjoy life to the fullest.
- It could improve your self-esteem.
- It complements other cosmetic procedures wonderfully.
- Your periodontal health may benefit.
- It is a cutting-edge, minimally intrusive treatment.
Gingival veneers are removable as dentures for your gums instead of your teeth. Some porcelain, acrylic, or composite resin gum veneers are taken out. Like dentures, they should be taken off at night while you sleep and cleaned every day.
Your teeth should fit snugly and securely into your gums in a healthy mouth. Your teeth roots are supported by a layer of gum tissue that shields them from decay and other problems. Your gums will start to draw away from your teeth if they start to recede, making your teeth more vulnerable to problems like tooth loss.
Unfortunately, many people are susceptible to gum recession due to various factors, including heredity, hormonal fluctuations, diabetes, smoking, using an abrasive toothbrush, and not having access to expert dental care. The most frequent reason is gum disease, which is brought on by poor dental hygiene practices. Even though gum recession is permanent, periodontics, a branch of dentistry, has made strides toward replacing lost gum tissue. In contrast to other surgical therapies, gum veneers is a fantastic nonsurgical alternative
1. Are gingival veneers secure?
They don’t endanger dental health because they are readily cleaned and are detachable. A gingival veneer can be used as a quick, workable fix for people unhappy with their gums’ recession. It is minimally invasive.
2. How long does a gingival veneer last?
Depending on the sort of veneer you have, with due care and consideration, 5-7 years is the normal lifespan of composite bonding veneers. Usually lasting 10 to 15 years, porcelain veneers.
3. What Are The Benefits Of A Gingival Veneer?
The look of your smile may be improved with the aid of gingival veneers, giving you greater self-assurance and allowing you to enjoy life to the fullest.
- It could improve your self-esteem.
- It complements other cosmetic procedures wonderfully.
- Your periodontal health may benefit.
- It is a cutting-edge, minimally intrusive treatment.
4. Are gingival veneers removable?
Gingival veneers are removable as dentures for your gums instead of your teeth. Some porcelain, acrylic, or composite resin gum veneers are taken out. Like dentures, they should be taken off at night while you sleep and cleaned every day.
5. What are the reasons for gums receding?
Your teeth should fit snugly and securely into your gums in a healthy mouth. Your teeth roots are supported by a layer of gum tissue that shields them from decay and other problems. Your gums will start to draw away from your teeth if they start to recede, making your teeth more vulnerable to problems like teeth loss.
Unfortunately, many people are susceptible to gum recession due to various factors, including heredity, hormonal fluctuations, diabetes, smoking, using an abrasive toothbrush, and not having access to expert dental care. The most frequent reason is gum disease, which is brought on by poor dental hygiene practices. Even though gum recession is permanent, periodontics, a branch of dentistry, has made strides toward replacing lost gum tissue. In contrast to other surgical therapies, gum veneers is a fantastic nonsurgical alternative.
Regain Your Happy Smile in Healthy Way
Be it a dental checkup, an inquiry about a dental procedure, or correcting your dental issues, we assure quality care and a happy smile with flexibility in appointment scheduling.
