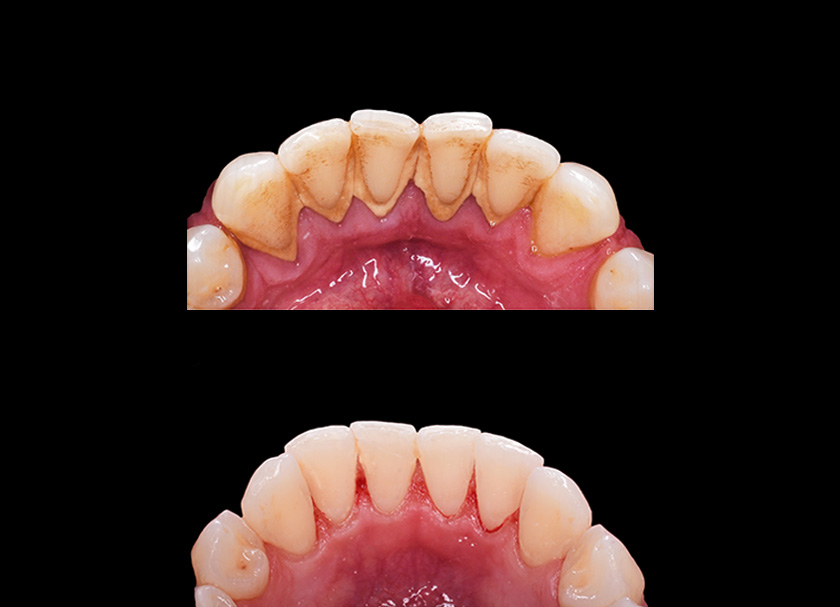
Dental Scaling in Delhi
Teeth Scaling
How long do teeth scaling take at SmileMint Studio?
Usually, the teeth scaling process is completed in a single dental appointment. The process takes around an hour to complete on average. In cases with a lot of plaque deposits, the process can take more than an hour.
What are the benefits of teeth scaling?
Teeth scaling makes your mouth cavity-free and keeps it healthy for a long duration. We have listed the benefits of teeth scaling below:
Avoid cavities and tooth decay:
Tooth decay is the starting point of any major dental issue. Scaling goes a long way in preventing that. Cavities tend to become the host for plaque and damage the enamel of the teeth, which is the hardest layer of the teeth. Scaling will keep the plaque at bay and prevent major dental problems.
Prevent Periodontal disease:
If you ignore the plaque deposits on your teeth, then you are giving an open invitation for gum diseases to attack your gums. It can further lead to tooth loss. Scaling guards, your gum line anchors your teeth and helps you maintain good oral care.
Remove Stains:
Beverages like tea, coffee, and wine stain your teeth. Scaling helps remove these pigments from your teeth to a great extent and gives you an attractive smile.
Eliminates Bad Breath:
Plaque is a breeding ground for bacteria, and it develops into tartar. Tartar and plaque deposits on your teeth result in halitosis or bad breath. Daily brushing and flossing will only give you partial results, and only teeth scaling will completely rid your mouth of plaque and tartar, eliminating bad breath simultaneously.
What to expect after the procedure?
Once you get the procedure done at our dental clinic, you will notice a lot of difference in the way your mouth feels. Your teeth will get their sheen back, your gums will feel healthy, and you will feel a whole lot cleaner. It will make your teeth stronger.
You might experience tooth sensitivity for a few days after the procedure, but this is normal and can be easily rectified using sensitivity toothpaste. It is also completely normal to experience bleeding between your teeth. Rinse your mouth with salt water and brush your teeth gently.
FAQ's
1. What must you not do after the teeth scaling procedure?
You need to wait at least 2 hours before eating and drinking again. We advise a diet of soft foods for the next 48 to 72 hours. Avoid alcohol and smoking for the next 72 hours, as tobacco and tobacco products slow down healing.
2. How long does it take to recover from this scaling?
There will be slight discomfort and tenderness around your teeth for several days. You might also experience increased sensitivity to hot and cold food and beverages for up to 4 to 6 weeks.
3. Will my gums go back to normal after teeth scaling?
Yes, of course. Your gums will go back to normal, and the remaining gum tissue will reattach to the teeth. This procedure will not help regenerate new gum tissue.
4. Can I brush my teeth after dental scaling?
You may experience sensitivity and some bleeding after the treatment, which is completely normal. You can brush your teeth gently using soft bristles toothbrush in circular strokes. Brush your teeth patiently with slow and deliberate strokes.
5. Are teeth scaling done on kids?
Yes, this procedure is carried out on kids by our pediatric dentists, who are very adept at treating kids.
Regain Your Happy Smile in Healthy Way
Be it a dental checkup, an inquiry about a dental procedure, or correcting your dental issues, we assure quality care and a happy smile with flexibility in appointment scheduling.
